Skip to content
  • Bisnis
  • Gaya Hidup
  • Kesehatan
  • Otomotif
  • Teknologi

October 27, 2025

Breaking News
Top Up Robux Termurah 2025: Harga Spesial dan Promo Eksklusif  |  
Naikkan Penjualan & Hemat Biaya CS Hingga 20x Lebih Murah dengan Halo AI  |  
5 Kebiasaan yang Bisa Memicu Keputihan Abnormal  |  
Ternyata Ini Alasannya! 5 Hal yang Bikin Heels Itu Item Wajib di Lemari Setiap Cewek!  |  
Waspada, Ini 5 Bentuk Komplikasi Asma pada Anak  |  

Postmalam.com

Informasi Terkini Terbaru

  • Bisnis
  • Gaya Hidup
  • Kesehatan
  • Otomotif
  • Teknologi
Newspaper Eye Theme By Wp Theme Space

Bulan: April 2025

Kelola Sumber Daya Manusia dengan Lebih Efektif Menggunakan HCM Software
Uncategorized

Kelola Sumber Daya Manusia dengan Lebih Efektif Menggunakan HCM Software

Saya sangat senang bisa memberikan informasi terkait manajemen sumber daya manusia (SDM) dengan menggunakan Human Capital Management (HCM) Software. Dalam

by admin
2 Minute
PLTS Solusi Energi Terbarukan di Indonesia
Teknologi

PLTS: Solusi Energi Terbarukan di Indonesia

Halo sobat pembaca! Hari ini kita akan membahas tentang Pembangkit Listrik Tenaga Surya (PLTS), sebuah solusi inovatif dan ramah lingkungan

by admin
3 Minute
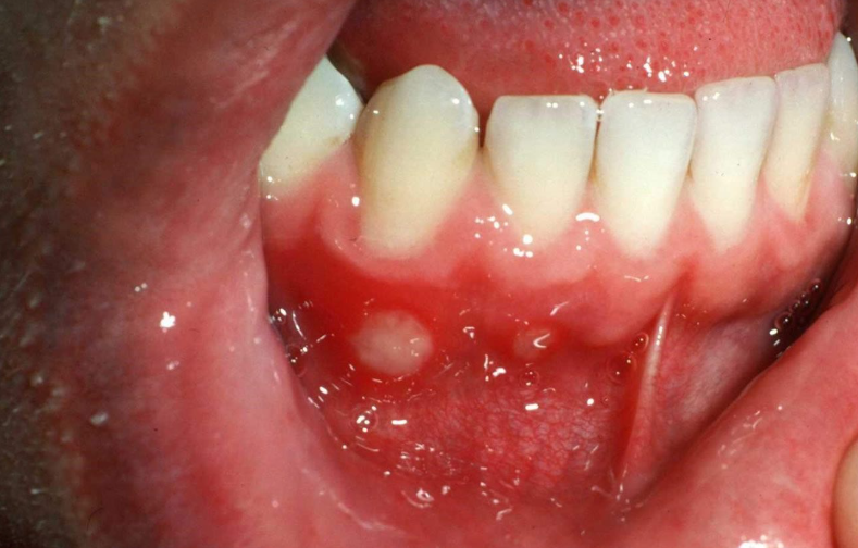
Sariawan di Gusi
Kesehatan

Sariawan di Gusi: Penyebab, Gejala, dan Cara Mengatasinya

Sariawan adalah masalah kesehatan mulut yang cukup umum dan bisa terjadi pada siapa saja. Salah satu lokasi yang sering terkena

by admin
3 Minute

Recent Posts

  • Top Up Robux Termurah 2025: Harga Spesial dan Promo Eksklusif
  • Naikkan Penjualan & Hemat Biaya CS Hingga 20x Lebih Murah dengan Halo AI
  • 5 Kebiasaan yang Bisa Memicu Keputihan Abnormal
  • Ternyata Ini Alasannya! 5 Hal yang Bikin Heels Itu Item Wajib di Lemari Setiap Cewek!
  • Waspada, Ini 5 Bentuk Komplikasi Asma pada Anak

Categories

  • Bisnis
  • Gaya Hidup
  • Kartu Kredit
  • Kesehatan
  • Otomotif
  • Teknologi
  • Travel
  • Uncategorized

Laman

  • About Us
  • Contact Us
  • Disclaimer
  • Privacy Policy

Archives

  • Oktober 2025
  • September 2025
  • Agustus 2025
  • Juni 2025
  • April 2025
  • Februari 2025
  • November 2024
  • September 2024
  • Agustus 2024
  • Juli 2024
  • Juni 2024
  • April 2024
  • Maret 2024
  • Februari 2024
  • Januari 2024
  • Desember 2023
  • November 2023
  • September 2023
  • Agustus 2023
© 2025 Postmalam.com | Theme Newspaper Eye by Wp Theme Space.